
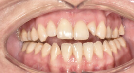
In the treatment of dental abnormalities, bad bites (malocclusions) and crooked teeth usually are corrected by an orthodontist. Growth abnormalities of the jaw usually are corrected by an oral surgeon. When both conditions exist, it is common to find an orthodontist and maxillo-facial surgeon working together.
Orthodontic treatment and surgery is a combined approach involving orthodontics to straighten the teeth and oral surgery to correct severe cases of bad bites and jawbone abnormalities. This teamwork approach to dental/facial problems provides better oral health for thousands of adults and children, who are rewarded with straight teeth, bright smiles and facial symmetry – a beautiful combination of shape, form, position and function.
When are Orthodontic Treatment and Surgery Required?
The upper and lower jaws are the bases upon which the teeth are aligned. When the jaws are too short or long, too wide or narrow, the proper bite often cannot be achieved with braces alone. The orthodontist, in conjunction with the maxillo-facial surgeon, formulates a combined treatment plan that may include surgery performed by the maxillo-facial surgeon. Orthodontics and surgery may be the only treatment option in some severe cases.
What Problems do Orthodontics and Surgery Best Correct?
There are a wide variety of causes of jawbone discrepancies – heredity, trauma, or other developmental problems. The most commonly corrected problems include:
- a protruding or retruding chin
- an unsightly display of gum tissue above the upper front teeth
- an inability to achieve lip contact when the lips are relaxed
- overall elongation of the face or asymmetry
What Treatment is Used?
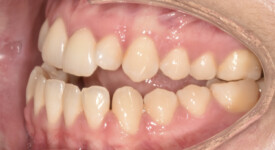
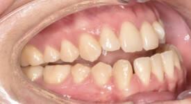
Most orthodontic patients undergo an initial period of orthodontic treatment to align the teeth so they will fit properly after surgery is completed. Surgery usually is scheduled after the teeth have been properly aligned.
Orthodontic appliances used to align teeth before surgery are left in place during the surgical procedure to help stabilize the teeth and jaws. After surgery there is a period of orthodontic treatment to achieve final alignment of the teeth, thus complementing the new facial symmetry.
Can Surgery be Avoided?
In younger patients, future facial growth combined with timely orthodontic or orthopedic intervention can sometimes correct protrusions and/or retrusions of the jawbone. An orthodontist working with children as young as age 7 can use one of several orthodontic appliances to guide bone growth, thus eliminating the need for surgery in some patients. However, in non-growing patients, the improper tooth/bone relationship frequently is corrected with surgery.
Are there any Risks?
The portion of treatment provided by an maxillo-facial surgeon entails the usual risks inherent with any type of surgery. However, these procedures are not new or experimental; they are routinely performed in offices or hospitals on a regular basis.
What are the Rewards?
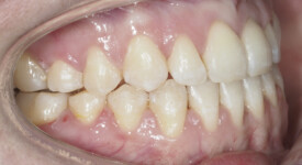
Following completion of orthodontic treatment and surgery, dental health is improved – no more bad bites or crooked teeth. The jaws and profile relationships are also more stable, functional and esthetic. Facial appearance is improved. The most lasting reward is a more beautiful, healthy and happy you!








