Smile Transformation – Adult One

See for Yourself!

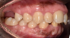
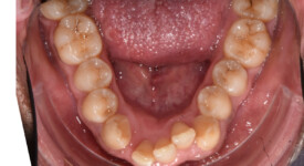
This is an example of an adult patient with photographs of their smile before and after treatment at Braceline. Our orthodontic treatments are designed to provide maximum results in minimal time and to help you achieve the smile you always wanted!

Before Transformation!

After Transformation!

START TYPING AND PRESS ENTER TO SEARCH