
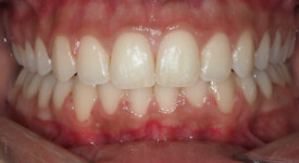
See for Yourself!
This is an example of a patient with photographs of their smile before and after general treatment at Braceline. Our orthodontic treatments are designed to provide maximum results in minimal time and to help you achieve the smile you always wanted!




